Es el tejido especializado en la función de contractilidad, responsable de los movimientos corporales. Está formado por células alargadas, las fibras musculares. Todos los tipos celulares o fibras del tejido muscular contienen proteínas contráctiles, miosina y actina, que son las responsables de la contracción. Estas proteínas forman filamentos que se orientan a lo largo del eje mayor de
la fibra muscular, es decir en el sentido en que se produce el acortamiento por contracción. El tejido conectivo siempre acompaña al tejido muscular, rodeando sus fibras y vehiculizando vasos sanguíneos y filetes nerviosos
 Las células musculares tienen origen mesodérmico y su diferenciación ocurre principalmente en un proceso de alargamiento gradual, son síntesis simultánea de proteínas filamentosas.
 De acuerdo con sus características morfológicas y funcionales se pueden diferenciar en los mamíferos tres tipos de tejido muscular, el músculo liso, estriado esquelético y cardiaco.
Músculo estriado o esquelético

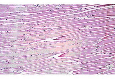
Está formado por haces de células muy largas (hasta de 30 cm.) cilíndricas y multinucleadas, con diámetro que varía de 10 a 100 um., llamadas fibras musculares estriadas.
 Organización del músculo esquelético: Las fibras musculares están organizadas en haces envueltos por una membrana externa de tejido conjuntivo, llamada epimisio. De éste parten septos muy finos de tejido conjuntivo, que se dirigen hacia el interior del músculo, dividiéndolo en fascículos, estos septos se llaman perimisio. Cada fibra muscular está rodeada por una capa muy fina de fibras reticulares, formando el endomisio.
 El tejido conjuntivo mantiene las fibras musculares unidas, permitiendo que la fuerza de contracción generada por cada fibra individualmente actúe sobre el músculo entero, contribuyendo así a su contracción. Este papel del tejido conjuntivo tiene gran importancia porque las fibras generalmente no se extienden de un extremo a otro del músculo.
 También por intermedio del tejido conjuntivo la fuerza de contracción del músculo se transmite a otras estructuras como tendones ligamentos, aponeurosis y huesos.
 Los vasos sanguíneos penetran en el músculo a través de los septos del tejido conjuntivo y forman una red rica en capilares distribuidos paralelamente a las fibras musculares. Estas fibras se adelgazan en las extremidades y se observa una transición gradual de músculo a tendón. Estudios en esta región de transición al microscopio electrónico reveló que las fibras de colágena del tendón se insertan en pliegues complejos del sarcolema presente en esta zona. Cada fibra muscular presenta cerca de su centro una terminación nerviosa llamada placa motora. La fibra muscular está delimitada por una membrana llamada sarcolema y su citoplasma se presenta lleno principalmente de fibrillas paralelas, las miofibrillas.
 Las miofibrillas son estructuras cilíndricas, con un diámetro de 1 a 2 mu, y se distribuyen longitudinalmente a la fibra muscular, ocupando casi por completo su interior. Al microscopio se observan estriaciones transversales originadas por la alternancia de bandas claras y oscuras. La estriación es debida a repetición de unidades llamadas sarcómeros. Cada unidad está formada por la parte de la miofibrilla que queda entre dos líneas Z y contiene una banda A.
 Corresponde a la motilidad voluntaria y representa grandes masas musculares unidas a los huesos del cuerpo, por lo que a veces se llama músculo esquelético.
Músculo cardiaco

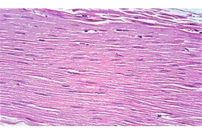
Constituido por células alargadas, formando columnas que se anastomosan irregularmente. Estas células también presentan estriaciones transversales, pero pueden distinguirse fácilmente de las fibras musculares esqueléticas por el hecho de poseer solo uno o dos núcleos centrales. La dirección de las células cardíacas es muy irregular y frecuentemente se pueden encontrar con varias orientaciones, en la misma área de una preparación microscópica, formando haces o columnas.
 Esas columnas están revestidas por una fina vaina de tejido conjuntivo, equivalente al endomisio del músculo esquelético. Hay abundante red de capilares sanguíneos entre las células siguiendo una dirección longitudinal a éstas.
 La célula muscular cardiaca es muy semejante a la fibra muscular esquelética , aunque posee más sarcoplasma, mitocondrias y glucógeno. También llama la atención el hecho de que en los músculos cardiacos, los filamentos ocupen casi la totalidad de la célula y no se agrupen en haces de miofibrillas.
 Una característica específica del músculo cardiaco es la presencia de líneas transversales intensamente coloreables que aparecen a intervalos regulares. 
 Nervios y sistema generador y conductor del impulso nervioso en el corazón
 Debido a la capa de tejido conjuntivo que reviste internamente el corazón existe una red de células musculares cardiacas modificadas localizadas dentro de la pared muscular del órgano. Tales células desempeñan un papel importante en la generación y conducción del estímulo cardiaco.
 El corazón recibe nervios tanto del sistema simpático con del parasimpático que forman plexos en la base del órgano. No existen en el corazón, terminaciones nerviosas comparables a la placa motora del músculo esquelético. Se admite que las fibras musculares cardiacas son capaces de autoestimulación independiente del impulso nervioso. Cada una de estas fibras tiene su ritmo propio, pero dado que están enlazadas en uniones tipo gap, que tienen un ritmo acelerado y conducen a todas las otras distribuyendo el impulso a todo el órgano.
 Las fibras del sistema generador y conductor del impulso son las del ritmo más rápido, pero las otras células del corazón pueden hacer que el órgano trabaje con un ritmo más lento, en el caso de que exista un fallo en el sistema conductor.
 Por lo tanto el sistema nervioso ejerce en el corazón una acción reguladora, adaptando el ritmo cardiaco a las necesidades del organismo como un todo.
Músculo visceral o liso

Esta formado por la asociación de células largas que pueden medir de 5 a 10 um. de diámetro por 80 a 200 um. de largo. Están generalmente dispuestas en capas sobre todo en las paredes de los órganos huecos, como el tubo digestivo o vasos sanguíneos. Además de esta disposición encontramos células musculares lisas en el tejido conjuntivo que reviste ciertos órganos como la próstata y las vesículas seminales y en el tejido subcutáneo de determinadas regiones como el escroto y los pezones. También se pueden agrupar formando pequeños músculos individuados, o bien constituyendo la mayor parte de la pared del órgano, como el útero.
 Las fibras musculares lisas están revestidas y mantenidas unidad por una red muy delicada de fibras reticulares. También encontramos vasos y nervios que penetran y ramifican entre las células.
 En el corte transversal el músculo liso se presenta como un aglomerado de estructuras circulares o poligonales que pueden ocasionalmente presentar un núcleo central. En corte longitudinal se distinguen una capa de células fusiformes paralelas.
 Estructura de la fibra muscular lisa
 La fibra muscular lisa también está revestida por una capa de glucoproteína amorfa (glucálix). Frecuentemente los plasmalemas de dos células adyacentes se aproximan mucho formando uniones estrechas (Tight) y gap. Esas estructuras no sólo participan de la transmisión intercelular del impulso, sino que mantienen la unión entre las células. Existe un núcleo alargado y central por célula. La fibra muscular lisa presenta haces de miofilamentos que cruzan en todas direcciones, formando una trama tridimensional.
 En el músculo liso también existen terminaciones nerviosas, pero el grado de control de la contracción muscular por el sistema nervioso varia. Es importante las uniones gap, en la trasmisión del estímulo de célula a célula.
 El músculo liso, recibe fibras del sistema nervioso simpático y para simpático y no muestra uniones neuromusculares elaboradas (placas motoras). Frecuentemente los axones terminan formando dilataciones del tejido conjuntivo. Estas dilataciones contienen vesículas sinápticas con los neurotransmisores acetilcolina (terminaciones colinérgicas) o noradrenalina (terminaciones adrenérgicas). Es musculatura involuntaria.
